Na Clínica de Implantes CoMO, temos o prazer de oferecer atendimento odontológico personalizado, adaptado às suas necessidades. Nossa equipe sempre se concentra em criar um ambiente acolhedor, onde nossos pacientes se sintam acolhidos e bem cuidados. Se você tiver interesse em saber mais sobre o nosso excelente atendimento odontológico na Clínica de Implantes CoMO em Monterrey, ligue para nossa equipe hoje mesmo pelo telefone 81 3112 0847 para agendar uma consulta com nossos especialistas. A Dra. Diana Laura Bernal e nossa equipe aguardam ansiosamente para conhecê-lo!
BEUAImplantes dentários de boa qualidade a preços muito baixosbom preço, atendido por especialistas certificados?
Nós transformamosseus sorrisos!
Consultas pelo WhatsApp81 3112 0847
Não deixe sua saúde em risco!mãos inexperientes!
Somos especialistas em Implantodontia!
CLÍNICA DE IMPLANTOLOGÍA
Dirigida por la
Dra. Diana Laura Bernal Rodríguez
y colaboradores

O que é um implante?
Um implante dentário é uma raiz artificial, geralmente feita de titânio, que é inserida cirurgicamente na maxila ou mandíbula para substituir a raiz de um dente ausente e servir de suporte para uma prótese dentária fixa ou removível.
Se você procura implantodontia na Clínica de Implantologia CoMO em Monterrey, convidamos você a nos visitar para receber implantes para seus dentes perdidos. Com implantes, podemos substituir seus dentes e melhorar significativamente a aparência e a função do seu sorriso. Ligue para a Clínica de Implantologia CoMO hoje mesmo pelo telefone 81-3112-0847 para saber mais e agendar uma consulta!
A melhor qualidade ao melhor preço

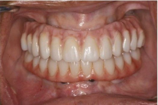
O que é arco completo?
Arco completo Isso significa que vamos substituir todos os dentes em um arco completo, superior ou inferior, com prótese fixa ou removível suportada por implantes. Trata-se de uma reabilitação completa do sorriso e da função mastigatória.



